Edmond Dental Center
12 NW 150th St. Edmond, OK 73013

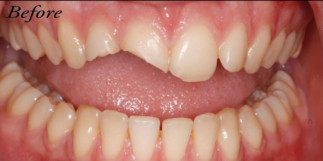
Dental Bonding

This patient presented with broken front teeth that Dr. Chandler restored with dental bonding. Using composite resin, the same material used for fillings, we can rebuild compromised teeth, restoring aesthetics and function.

Learn More about Cosmetic Dentistry in Edmond, OK

Book an evaluation with Dr. Chandler to learn more about what's possible for your smile with cosmetic dentistry. 

Related Services:

Cosmetic Dentistry
Patient with chipped teeth from dental emergency near 73013 Close up of chipped tooth restoration with dental bonding in Edmond OK
Are You Ready to Book an Appointment?
If you have difficulty using our website, please email us or call us at (405) 330-4630
View the ADA Accessibility Statement