Cosmetic Dentistry in Edmond, OK
Are you happy with your smile, or are there flaws that you wish you could fix? Whether you have a chipped, fractured, or yellow smile, our cosmetic dentist can address and treat any dental situation so that we can restore your appearance, smile, confidence, and quality of life. We will also establish that your oral health foundation is strong and reliable.
Procedures to Upgrade Your Smile
When you like your smile, you find yourself smiling with earnestness and sincerity, which can attract people’s attention and focus. Being confident in yourself and your smile can impact your professional, social, and romantic relationships.
If you dislike aspects of your smile and hide it behind your hand, others will notice and possibly make negative assumptions about your character or persona. First impressions are essential, and can’t be redone. We will help you give off a fantastic first impression!
Our cosmetic dentist performs wide array of cosmetic dental procedures at Edmond Dental Center that help patients design the smile they have always dreamed of. Whether you’re trying to improve yellow or severely stained teeth or chipped teeth, or even a missing or severely weakened tooth, we have the knowledge of cosmetic dentistry to get the job done. Take some time to read about the cosmetic dentistry services we provide in Edmond, OK!
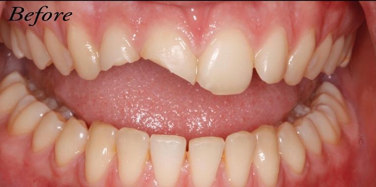
Repair Minor Flaws with Dental Bonding
Tooth bonding is a minimally invasive, quick, and reliable dental procedure that can quick minor smile flaws, like:
- Fix small chips or breaks
- Cover yellow or brown stains
- Fill in gaps between teeth
- Provide a more symmetrical appearance for misshapen teeth
- Repair excessive enamel erosion
Our cosmetic dentist uses the same tooth-colored dental material for both dental fillings and dental bonding. Patients can complete The entire dental bonding process in just one appointment at our dental office in Edmond. Dr. Chandler custom fabricates the dental bonding composite resin material to blend in with your smile so that you can have a gorgeous and flawless smile.
Cosmetic dental bonding is cost-effective and doesn’t require shaving enamel off your tooth for a snug fit like a dental prosthetic may require.
Advantages of Porcelain Veneers
Dental veneers can address many similar smile flaws that dental bonding does, the exception being that porcelain veneers require some change to the tooth so that the veneer fits perfectly, making it more permanent than cosmetic tooth bonding. If you’ve always wanted a Hollywood type smile, you could be in luck!
Many celebrities take advantage of the possibilities that dental veneers offer. Since tooth veneers can entirely change the size, shape, and shade of your teeth, they are often used by Americans every year. A porcelain veneer is an extremely thin and translucent coating of porcelain that Dr. Chandler bonds to the front of your tooth. It is fabricated with grooves and curves that mimic natural enamel, and many people will never be able to guess that you are wearing a dental prosthetic.
As with most cosmetic dentistry options, there are more benefits to tooth veneers than there are cons. For example, since dental veneers are stain-resistant, patients never have to be concerned about it getting yellow or stained over time. In fact, many patients decide to get a professional tooth cleaning before the veneer placement so they can have the tooth shade they want—touching up your whitening procedure is easier than ever and can be done in-office or at-home. If having a fabulous movie star laugh has always been in the stars for you, we are here to make your dream come true with porcelain veneers in Edmond, OK
Dr. Michael Chandler lives to support his patients and improve their lives. Schedule a consultation with Dr. Chandler and his experienced and knowledgeable dental staff to talk about cosmetic dentistry in Edmond, as well as alternative cosmetic procedures that can revive your smile.
Professional Teeth Whitening in Edmond, OK
Professional teeth whitening can significantly improve your smile's appearance, along with your confidence. At Edmond Dental Center, we are happy to offer our patients more than one option when it comes to erasing stains and bringing back the spark (and fit in your busy schedule.)
Many patients love our in-office teeth whitening procedure, which can give you flawless and brilliant results in just one visit to our dental office. This is an excellent option for a quick smile upgrade right before a wedding, vacation, reunion, or other special events (that may have many photos.) In-office whitening is beneficial for two main reasons:
- Dr. Chandler custom fabricates a whitening tray based on impressions he made of your oral cavity and teeth. We also create a protective barrier that prevents your bleaching gel will not leak and impact your gums. We can whiten your teeth by six to eight shades in under an hour. Speaking of bleaching gel, the professional strength tooth bleaching gel is powerful and competent enough to show immediate results, unlike store-bought brands that can never be on the same level as what you can get from a cosmetic dentist.
- After the whitening treatment, we protect your teeth with fluoride that helps prevent tooth sensitivity. This dental treatment is not invasive, which means you can come in, relax, and let us work our magic. No need to have dental anxiety or fear! If you find that sitting in the dental chair makes you nervous and fidget, we are happy to provide sedation dentistry to make sure you feel comfortable, safe, and with zero discomforts.
Another option we offer is at-home teeth whitening, so our patients near Edmond can whiten their teeth in the privacy of their home. The same trays we use in-office are fabricated for patients along with instructions on how to apply the bleaching gel so that it doesn’t leak or make your gums sensitive.
Dr. Michael Chandler is happy to share the beautiful benefits of professional teeth whitening for his patients. We invite you to call and schedule an evaluation so we can go over your oral health and make sure you have a stable and healthy foundation for dental procedures. Call Edmond Dental Center today at (405) 330-4630 to get started.
Whitening your teeth is a great way to improve your smile without breaking your wallet!
Your Smile Consultation with Dr. Chandler
During your cosmetic dental appointment with Dr. Chandler, we will go over any changes you are thinking about making to your teeth. Do you have mildly crooked or misaligned teeth that embarrass you, but you don’t want to pursue orthodontic treatment. Do you have a chipped tooth that takes up too much attention? Maybe your smile has gotten dull over time and could use a lift.
Dr. Chandler may recommend one cosmetic dental treatment or multiple to help design your new and improved smile. It’s good to have a clear plan of what you want and how you’re going to achieve it before we begin any procedure. You may decide that you want one dental procedure over another after patient education. By the time you leave our Edmond dental office, you should have a definite treatment plan for achieving the smile you dream of, and in your budget.
We look forward to designing your dream smile!
Schedule Treatment With Our Cosmetic Dentist in Edmond!
If you’re interested in doing the best you can for your smile and life goals, give Edmond Dental Center a call at (405) 330-4630 so that we can schedule a free consultation!
Our dentist office is located off of NE 150th Street and Lincoln Boulevard near The HIVE Sports Complex. We look forward to working with patients near Edmond, Northern Oklahoma City and beyond!