Smile Gallery
At Edmond Dental Center, we are in the business of changing smiles and changing lives, and we love what we do! One of the best ways to showcase our patients' results from previous procedures through our Smile Gallery. Here, we have evidence on how our dental procedures, including dental implants, porcelain veneers, and periodontal treatment, can transform a smile. Take a look at some of the treatment we've completed in the past to help our patients achieve the smile of their dreams and the confidence that comes with it.
If you have any questions regarding procedures or scheduling an appointment, contact Edmond Dental Center today at (405) 330-4630.


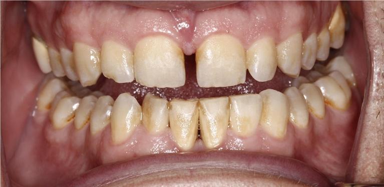
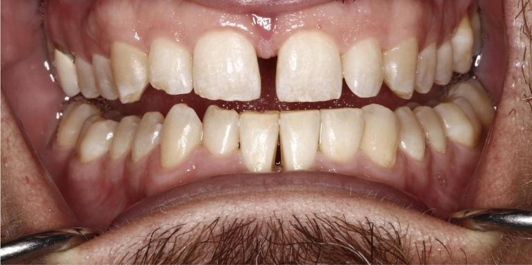
This patient presented with broken and discolored front teeth. Dr. Chandler restored function and aesthetics to this patient's smile with professional teeth whitening and composite bonding.
Now they're able to smile with confidence again!
Would You Like to Learn about Cosmetic Dentistry in Edmond?
The first step in learning what's possible for your smile is to book an evaluation with Dr. Chandler. Call Edmond Dental Center at (405) 330-4630 to schedule your appointment.


This patient presented with excessive plaque buildup that was impacting their health. We restored their smile with a thorough, professional, deep cleaning that cleared the plaque and tartar buildup below and above the gumline. Dental cleaning is part our preventive dental care services that help you avoid falling victim to periodontol diseases and dental emergencies
Contact Edmond Dental Denter
Even if you haven't visited your Edmond dentist in a while, we're here to help you get your smile back on track. Call our team at (405) 330-4630.


This patient was unhappy with the shade and symmetry of their teeth and how they impacted the appearance of their smile.
Dr. Chandler used porcelain veneers to cover the cosmetic flaws and create the brighter, more uniform smile the patient wanted.
Would You Like to Learn More about Porcelain Veneers in Edmond?
Contact Edmond Dental Center at (405) 330-4630 to book an evaluation with Dr. Chandler.


Dr. Chandler used dental implants to restore this patient's compromised front tooth. Dental implants restore function and aesthetics to your smile and are the closest replacement to a natural tooth.
Are Dental Implants in Edmond, OK, Right for You?
Dr. Chandler can determine if you're a candidate for dental implants during an evaluation, during which he'll take x-rays and photos and provide a thorough exam.
Request an appointment online or call our team at (405) 330-4630 to schedule.


This patient presented with broken front teeth that Dr. Chandler restored with dental bonding. Using composite resin, the same material used for fillings, we can rebuild compromised teeth, restoring aesthetics and function.
Learn More about Cosmetic Dentistry in Edmond, OK
Book an evaluation with Dr. Chandler to learn more about what's possible for your smile with cosmetic dentistry.


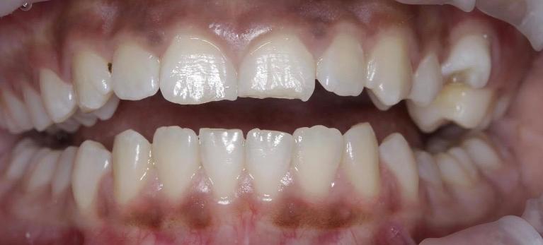
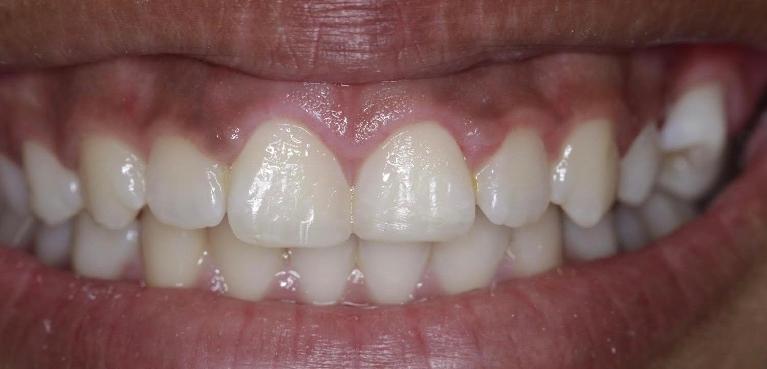
This patient presented with worn front teeth that Dr. Chandler rebuilt with a procedure called dental bonding.
Composite resin material is added to the tooth to rebuild it, and Dr. Chandler custom blends it to match it seamlessly with your smile.
Want to Learn More about Cosmetic Dentistry in Edmond?
Contact our team at (405) 330-4630 to learn more about cosmetic dentistry.


This younger patient chipped their front tooth, and Dr. Chandler restored it with composite bonding. During dental bonding, Dr. Chandler adds composite resin to the tooth to restore function and aesthetics.
Contact Edmond Dental Center for More Information
Reach our team at (405) 330-4630 for more information about dental bonding in Edmond, OK.


Dr. Chandler combined professional teeth whitening and dental bonding to create this patient's ideal smile. Bleaching brightens their smile, while composite bonding restores tooth shape and eliminates chipping.
Want to Learn More about Cosmetic Dentistry in Edmond, OK?
Book an evaluation with Dr. Chandler to learn how we can enhance your smile. Request your appointment online, or call our team at (405) 330-4630.


Dr. Chandler replaced this patient's old, broken-down metal amalgam filling with a new tooth-colored composite resin restoration.
This amalgam filling had pulled away from the tooth over time, allowing bacteria to cause new decay and damage. A composite resin filling is bonded directly to the tooth to seal it and protect it from future wear and breakdown.
Want to Learn More about Tooth-Colored Fillings in Edmond?
For more information on replacing amalgam fillings, contact your Edmond Dental Center team at (405) 330-4630.


Dr. Chandler replaced this patient's worn, broken metal filling with tooth-colored porcelain restoration that rebuilt the tooth's form and restored function and aesthetics.
Learn More about Biomimetic Restorations in Edmond, OK
Contact Edmond Dental Center for more information.


Dr. Chandler eliminated tooth decay and breakdown with tooth-colored biomimetic restorations that restore the tooth's strength and durability.
Learn More about Biomimetic Dentistry in Edmond
Contact our team at (405) 330-4630 to learn about biomimetic restorations.


This little one's smile had been compromised by tooth decay. Dr. Chandler restored their healthy smile with a thorough, professional cleaning and dental bonding.
Looking for a Children's Dentist in Edmond, OK?
Look no further than Edmond Dental Center! We love caring for small smiles. Book your child's next dental visit by calling (405) 330-4630.