Edmond Dental Center
12 NW 150th St. Edmond, OK 73013

Pediatric Dentistry

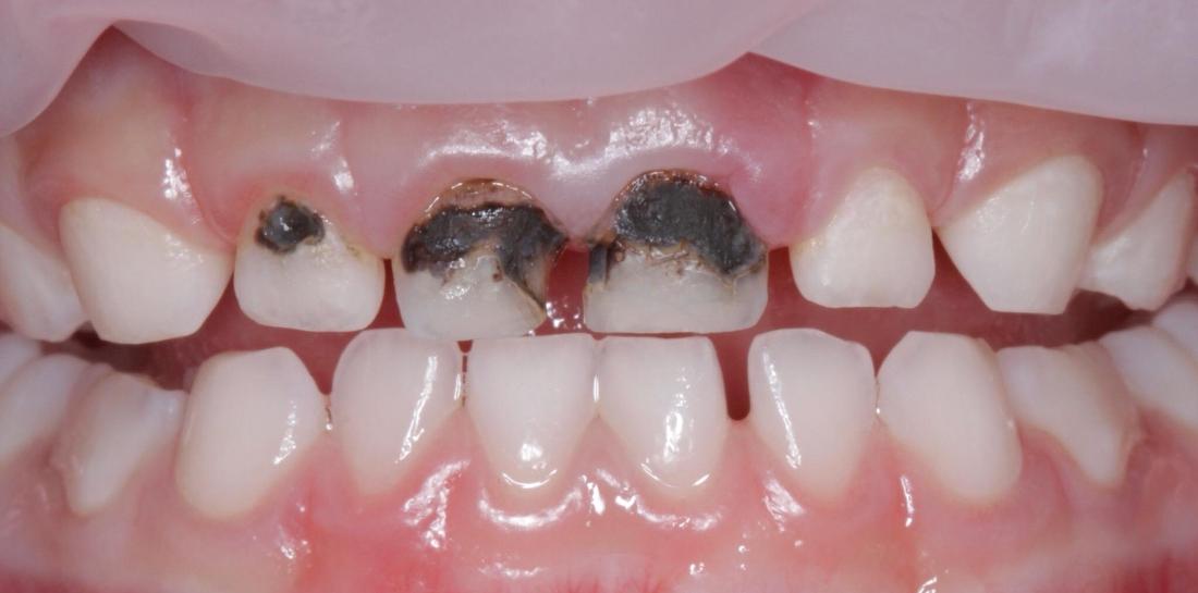
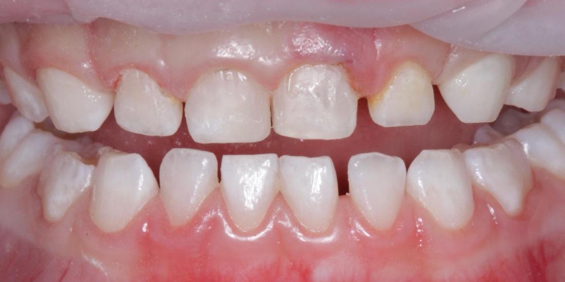
This little one's smile had been compromised by tooth decay. Dr. Chandler restored their healthy smile with a thorough, professional cleaning and dental bonding. 

Looking for a Children's Dentist in Edmond, OK?

Look no further than Edmond Dental Center! We love caring for small smiles. Book your child's next dental visit by calling (405) 330-4630.

Related Services:

Children's Dentistry
Child with severe tooth decay on front teeth at children's dentist in Edmond OK Results from restorative pediatric dentistry in Edmond OK
Have Questions? Get in Touch
If you have difficulty using our website, please email us or call us at (405) 330-4630
View the ADA Accessibility Statement